There are over 20 strains of Mycoplasma which have been isolated but many of them are likely to be commensals - i.e. normal inhabitants of the respiratory tract.
Mycoplasma is actually an umbrella term for a group of organisms which affects many different types of animals, birds as well as humans. The two main types of Mycoplasma seen in birds are Mycoplasma Gallisepticum and Mycoplasma Synoviae.

Fig 1 Electron micrograph of a mycoplasma organism
Mycoplasma is a small bacterium with no cell wall, and Mycoplasma Gallisepticum, or Mg as it's usually known is the most common strain isolated in poultry and game birds. Birds are seen coughing or sneezing and showing discharge from the nostrils and eyes. In severe cases, the sinuses under the eye swell up - hence the name 'bulgy eye'. Symptoms are usually only seen when the birds are stressed such as when being moved. It is relatively common for birds to appear normal though be carrying the disease, when these birds are 'stressed' they excrete the bug and are able to infect others. The infection usually spreads via infected drinkers and can be passed on by infected layers through the egg.
It is also very likely that other infections are involved in the infectious sinusitis/bulgy eye disease with Mycoplasma exploiting the damage caused to the respiratory tract by viruses such as ART and IB strains - these are described in other articles.
Clinical Signs
Clinical signs of Mycoplasma as mentioned before are usually seen when the birds are stressed so whilst being caught up, in lay, etc. Signs vary greatly but may include a combination of the following: coughing, swollen eyes, eye and nasal discharge, slow growth, poor productivity, leg problems and a loss of appetite. Affected birds may shake their heads and have difficulty breathing.

Fig 2 Foamy eye discharge due to Mycoplasma gallisepticum infection
Post Mortem Findings
Post Mortem findings can include inflammation and excess mucous in the nostrils, throat, windpipe and possibly lungs. There may be signs of infection around the heart, in and around the lungs and there may be infection and cloudiness in the air sacs. The eyes may be very swollen and the exudate may stick the eyelids together.

Fig 3 Swollen eyelids stuck shut with discharge
Diagnosis
Diagnosis of Mycoplasma can be suspected based on the clinical signs and post mortem findings. To confirm the diagnosis, samples can be taken for PCR testing and possibly culture, although it is a difficult organism to grow in a laboratory.

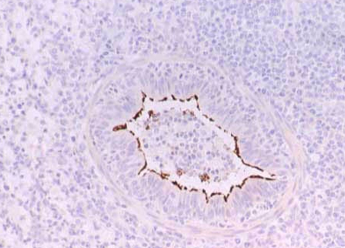
Fig 4 Microscopic picture of specially stained cells of the respiratory tract which are infected with mycoplasma
Treatment and Control
Antibiotics will help alleviate symptoms, except in severe cases, but the birds can remain carriers. Strategic treatments, water sanitation, measures to reduce stress and vaccination will help in the prevention of the infection. Antibiotics can be given via the food or water route. There are many different types available, but Aivlosin is the only fully licensed product for gamebirds.
Preventative measures for Mycoplasma, like many other diseases, is focused on good husbandry. Purchasing clean stock, using all-in, all-out systems, good biosecurity and regularly checking the flock for signs of disease by blood sampling or PCR testing, are all very useful preventative methods. Keeping wild birds away from your own, and ensuring visitors have not been in contact with other birds in the last 24 hours and clean footwear and foot dips are all effective preventative methods.
Vaccination using killed vaccines and vaccines for other viruses involved can be effective in controlling the disease on site and a vaccination programme can be discussed with your vet.



